Pathologie de la coiffe des rotateurs

Anatomie de la coiffe des rotateurs

Que sont ces fameux tendons ?

Voir la vidéo

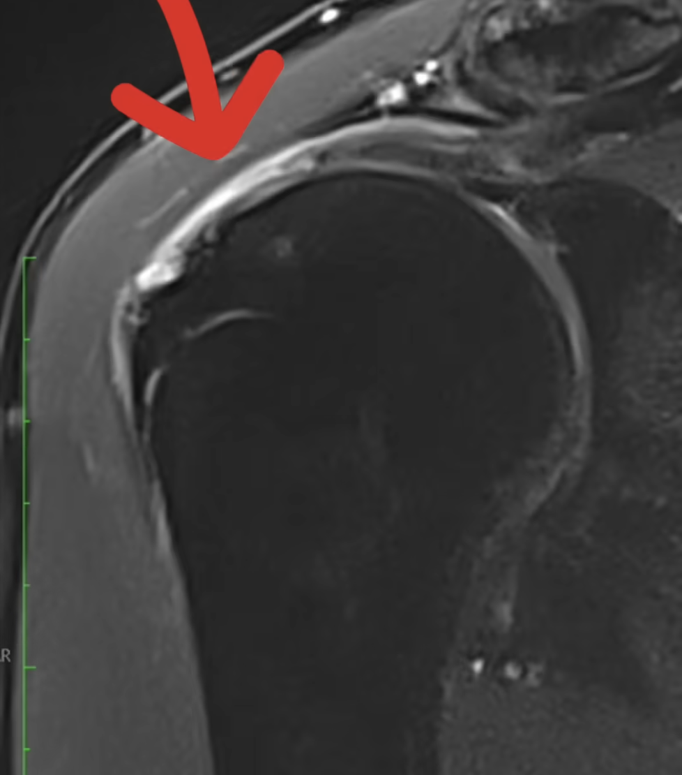
Qu’est-ce qu’une rupture de la coiffe ?

Commençons par comprendre la pathologie.

Voir la vidéo

Quels paramètres sont analysés par un chirurgien devant une rupture de la coiffe des rotateurs ?

3 paramètres importants analysés par votre chirurgien devant une lésion de la coiffe.

Voir la vidéo

Les infiltrations de cortisone

Souvent utiles dans le traitement des pathologies de la coiffe des rotateurs. Découvrez leur mode d’action, leurs indications et leurs contre-indications.

Voir la vidéo

Réparation des tendons de la coiffe

L’objectif est de restaurer l’anatomie de l’épaule.

Voir la vidéo

Autres contenus à propos de la coiffe des rotateurs